
Dieren
22 mrt 2024, 22:21
Dierenartsen van Dierendokters Zandvoort konden hun ogen niet geloven toen poes Bo bij hen binnenkwam. Het leek wel alsof iemand op de kat geschoten had. Hun ergste vermoedens werden bevestigd toen ze Bo opereerden en inderdaad een kogel vonden.
Katten zijn helaas vaak de dupe van dierenbeulen. Een paar maanden geleden werd een kitten opgeblazen met vuurwerk. De dierenambulance was furieus, zoals te zien is in bovenstaande video.
"Bo kwam thuis en toen zagen haar eigenaren een rond gaatje aan de linkerkant van haar buik en dat ze bloed verloor", vertelt dierenarts Sigrid Nielsen aan Hart van Nederland. "Ze vertrouwden het terecht niet en zijn naar ons gekomen." Ze kijken meteen naar het wondje en merken op dat die wel erg diep is.
"Ze had zo'n pijn en omdat het ook zo bloedde vermoedde ik dat het dieper was dan alleen een oppervlakkig wondje van een gevecht met een andere kat. Want dat is ook een klein rond gaatje." Ze besluit een röntgenfoto te maken om te kijken wat de schade van binnen precies is.
Maar die blijkt veel groter dan ze hadden verwacht.
Wil je dagelijks op de hoogte worden gehouden van de mooiste en meest indrukwekkende verhalen van Hart van Nederland? Meld je dan aan voor ons WhatsApp-kanaal, via deze link of volg ons op Threads, hier te vinden.
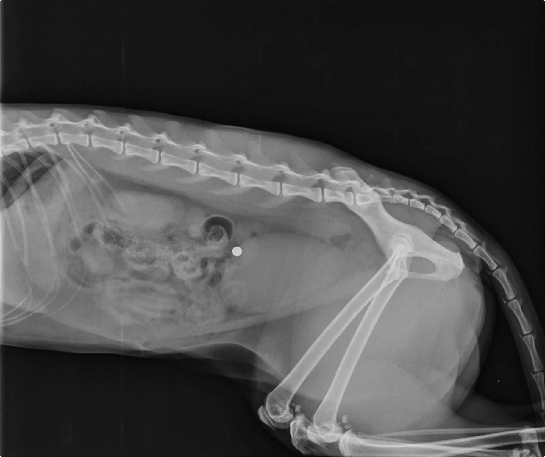
Op de röntgenfoto is heel duidelijk een metalen balletje te zien. "Ik dacht nog: dit lijkt ontzettend op een kogel", gaat Nielsen verder. "Maar dat geloofde ik niet. Of ik wilde het niet geloven." Ze maken nog een foto, maar dan vanuit een andere hoek om zo een 3D-beeld te krijgen van de buik.
"Toen zagen we dat de kogel aan de rechterkant van de buik zat. We hebben daarna zelfs een foto gemaakt van de röntgenplaat om zeker te weten dat het geen afwijking was op de plaat." Want dit betekent dat de kogel zich een weg van de linker- naar de rechterkant van de buik heeft gebaand. "En dat het van binnen foute boel is."

De röntgenfoto van Bo. Beeld: Dierendokter Zandvoort
Ze maken hun agenda leeg en beginnen een spoedoperatie. "Meteen was er in de buikwand een flinke bloeding te zien, maar wat nog zorgwekkender was dat er in de mild een gaatje zat. Het weefsel daaromheen was al aan het afsterven en er was een flinke ontsteking ontstaan."
Maar het ergste moet nog komen. "Toen bekeken we de darmen en daar was de kogel op meerdere plekken erdoorheen gegaan. En meerdere plekken waren al aan het afsterven en aan het lekken. Als er één gaatje in de darm zit kunnen we nog wat doen, maar dit waren er te veel."
Ze bellen de eigenaren en besluiten samen om Bo niet meer wakker te laten worden. Er is niks meer voor haar te doen.
De eigenaren van Bo hebben aangifte gedaan bij de politie en Nielsen heeft de kogel overhandigd als bewijsmateriaal. Maar tot op heden is niet bekend wat hier gebeurd kan zijn. "Het gekke is", zegt Nielsen. "Dat de eigenaren niks hebben gehoord. En het is gewoon een rustige woonwijk in Zandvoort."

De kogel die in de buik van Bo is gevonden. Foto: Dierendokters Zandvoort
"We weten ook niet of dit per ongeluk is gebeurd of expres is gedaan. Iemand die bijvoorbeeld een vogel probeerde te raken, wat natuurlijk ook niet kan, en de kat heeft geraakt. Of heeft iemand moedwillig de kat geraakt. Of zijn er bijvoorbeeld kinderen die een luchtbuks of jachtgeweer in handen hebben gekregen."
Nielsen wil andere baasjes waarschuwen. "Dit is wel iets wat vaker gebeurt. Dus als jouw huisdier thuiskomt en het lijkt alsof er iets niet klopt, of dat nou een wondje is of dat ze mank lopen, let dan goed op. Wees je ervan bewust dat dit het kan zijn."
"En zeker als het dus een rond wondje is dat niet stopt met bloeden: wacht niet. Ga naar de dierenarts of spoedkliniek." Want zelfs al is het, net zoals helaas bij Bo, te laat om nog iets te doen, het bespaart jouw dier een hoop pijn als je naar de dierenarts gaat, benadrukt de arts. "Als ze thuis was gebleven had ze een hele lange lijdensweg moeten ondergaan en was ze pas over een paar dagen overleden."
En: "Schiet niet op dieren. Doe voorzichtig met wapens. Zorg dat ze niet in verkeerde handen terechtkomen. Ook al zijn het wapens die mensen legaal mogen hebben."
Meld je aan voor onze wekelijkse nieuwsbrief met daarin het laatste nieuws en aanbiedingen die wijzelf of in samenwerking met onze partners organiseren. Je kunt je op ieder moment afmelden. Zie voor meer informatie de privacyverklaring.