
Milieu en Gezondheid
17 apr 2021, 12:24
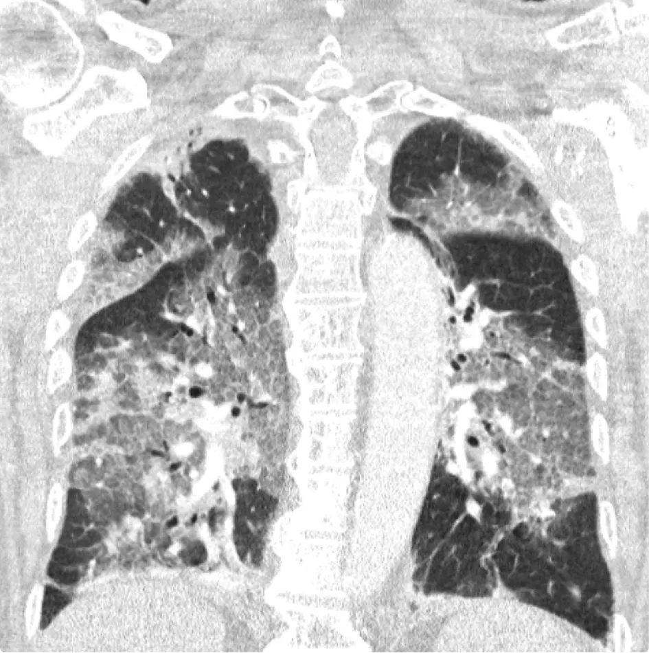
Het Zuyderland ziekenhuis deelt dit weekend een longfoto van een coronapatiënt die moest worden opgenomen in het ziekenhuis, nadat hij eerder het AstraZeneca-vaccin had geweigerd.
Lees het laatste nieuws rondom het coronavirus in ons liveblog
Vrijdag nam het Zuyderland ziekenhuis in Sittard voor het eerst een patiënt op die het AstraZeneca-vaccin had geweigerd na alle commotie in de pers. Dat schrijft het ziekenhuis in een open brief. "We hoorden de enorme spijt in zijn stem en zagen de wanhoop in zijn ogen. Het virus had hem geveld en dit had wellicht niet gehoeven."
"Je hoeft ook geen epidemioloog te zijn om de risico’s van niet-vaccineren te duiden. Het risico op ernstige schade door COVID-19 is tien keer hoger voor 40 jarigen, en zeventig keer voor 60 jarigen, dan het risico op ernstige schade door trombose als gevolg van het vaccin."

Longfoto Zuyderland 2
Met instemming deelt het ziekenhuis nu zijn longfoto, in de hoop een krachtig signaal af te geven tegen 'het vaccinatie-zwabberbeleid' van de minister. "Wilt u alstublieft stoppen met dralen en onrust zaaien, met insinueren dat u veiligheid biedt door alles eerst goed uit te laten zoeken? De cijfers die de voordelen van massavaccinatie aantonen zijn overweldigend. Ze liegen echt niet", luidt het statement van het ziekenhuis. "Laten we dan landelijk de maximale vaart erin brengen!"
Het prikken gaat volgens de artsen van het Zuyderland te langzaam. "AstraZeneca, Janssen of welk vaccin dan ook: wij willen prikken in plaats van eindeloos debatteren of het advies van de Gezondheidsraad nu wel of niet deugt", schrijven ze. Het ziekenhuis neemt dan ook een besluit: "Wij overwegen dan ook serieus om vanaf maandag de paar honderd AstraZeneca-vaccins die nog in de koeling liggen te wachten, aan te bieden aan medewerkers en dokters."
"Wij hebben als professionals een zorgplicht jegens patiënten en collega’s. Die zorgplicht weegt zwaar!", besluiten zij. "Niets doen en afwachten leidt tot meer, niet tot minder schade. En aan vermijdbare schade werken wij in Zuyderland niet langer willens en wetens mee."
Meld je aan voor onze wekelijkse nieuwsbrief met daarin het laatste nieuws en aanbiedingen die wijzelf of in samenwerking met onze partners organiseren. Je kunt je op ieder moment afmelden. Zie voor meer informatie de privacyverklaring.